Виниры в Алматы
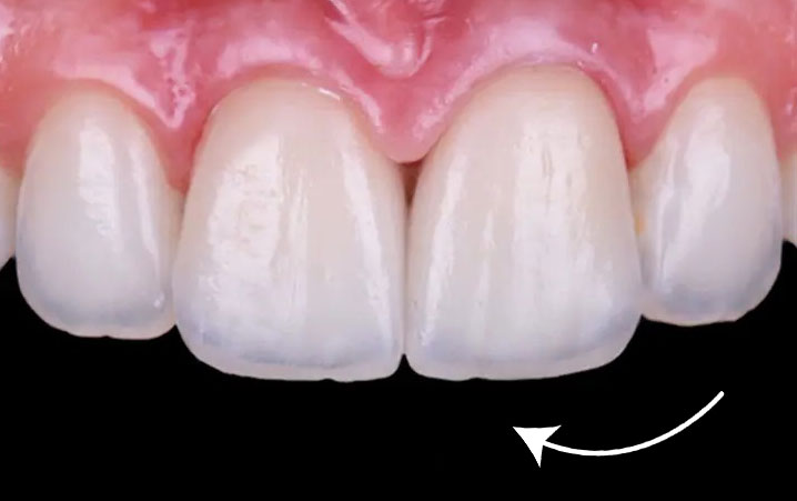
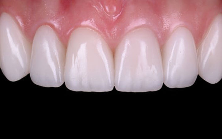
В нашем стоматологическом центре можно установить виниры для зубов. Эта конструкция представляет собой тонкую накладку для скрытия дефектов зубной эмали механического и косметического характера. Это говорит о том, что даже при наличии серьезных дефектов возможно достичь идеальную улыбку. Цена виниров для зубов оправдывается рядом преимуществ от их использования.
В каких случаях рекомендуют поставить виниры?
Наши специалисты могут рекомендовать пациенту поставить накладки для зубов при наличии следующих показаний:
- Зубы обладают сколами или трещинами;
- Эмаль потемнела и не поддается отбеливанию;
- Неправильное расположение зубов либо у них есть дефекты;
- Эмаль поражена флюорозом;
- Потемнение эмали после приема антибиотиков, богатых на тетрациклин.
Не всегда возможно и есть желание устранять дефекты брекетами или коронками, а отбеливание уже не помогает. В таких случаях специалисты предлагают рассмотреть процедуру по установке накладок.
Срок службы виниров
Долгосрочность накладок зависит от следующих факторов:
- Качество гигиены ротовой полости;
- Здоровье зубов;
- Материалы, из которых изготовлены виниры.
Композитные виниры обычно служат от 3 до 4 лет, а керамические – больше 10 лет. Керамика даже со временем не темнеет, поэтому может приклеиваться к поверхности зуба повторно. Из-за таких особенностей данного материала цена на керамические виниры выше.
Какие бывают виниры, в чем разница между ними?
Виниры различаются по методу изготовления:
- Терапевтические модели из композита. Процедуру по установке таких накладок еще называют реставрацией зубов. Они изготавливаются непосредственно в ротовой полости пациента. Врач формирует их слоями, шлифует и в завершение полирует.
- Ортопедические из керамики. Их создают зубные техники в лаборатории, используя тончайшую керамику. Их изготовление протекает более сложно. Но, несмотря на это, пациенту достаточно 2-3 визитов к врачу.
Виниры также можно разделить по материалам, которые используются для их изготовления:
- Композитные. Этот вид самый недорогой. Для создания накладки применяется светоотверждаемый полимер. Такой же материал используется во время пломбирования. Преимуществом данной группы является не только цена, но еще скорость. Пациенту не нужно ждать, пока зуботехническая лаборатория изготовит конструкцию – врач самостоятельно сформирует виниры непосредственно в полости рта пациента. Композитный вид чаще всего применяется в тех случаях, когда требуется исправить один моляр. Но наши специалисты не рекомендуют устанавливать этот вид на фронтальные единицы, потому что он не служит долго, постепенно окрашивается другим оттенком и по внешности не отличается качеством.
- Керамические. Данная группа известна прочностью и эстетичностью. Лаборатория может изготавливать виниры фрезеровкой цельного блока, нанесением слоями либо литьем. Керамические накладки смотрятся максимально естественно, но, если неаккуратно с ними обращаться, могут сломаться, как любая керамика.
- Диоксид циркониевые. Данный материал наиболее современный, качественный и прочный. Изделия выглядят очень красиво. Но цена таких накладок намного выше, чем керамических или композитных.
На какие зубы и на сколько зубов можно устанавливать виниры?
Установка накладок не зависит от расположения зубов. Главное в этой процедуре – чтобы зуб был живой. В отличие от мостовой методики, изделия монтируются по отдельности на каждую единицу. Чтобы достичь идеальной улыбки, лучше устанавливать накладки на все передние зубы. Хотя подбирать оттенок накладок непросто, но даже при работе только с одним или двумя зубами возможно провести процедуру таким образом, что их будет сложно отличить от настоящих единиц.
Окончательная стоимость реставрации зависит от ряда факторов. Они включают предварительное лечение моляров, вид материала, объем работы, способ установки и другое.















































Записаться на приём
Самая лучшая похвала -
это ваши здоровые зубы.
Сегодня был на приеме у самого крутого стоматолога Аслана Серикбековича!
Довелось в жизни удалять зубы мудрости, сегодня распрощался с последним и я скажу без лукавства, я в жизни более безболезненного удаления не встречал) и самое главное очень быстрое, всего 20 минут.
Качество обслуживания на высшем уровне
Всем советую, не экономьте на здоровье!
Спасибо!
Комментарий от нашего клиента
Приходила на консультацию, так как сейчас в поисках стоматологии на установку брекетов себе и дочери. Клиника как из фильмов зарубежных 😀 не то что у нас в детстве ужас и страх. Ну а далее хочется отметить специалистов. Все как на подбор. Очень приветливые. Так грамотно все объяснили. Чувствуется современный и профессиональный подход. Спасибо. Скоро будем с дочей с красивыми улыбками.
Комментарий от нашего клиента
Одна из 10 клиник которая смогла подтвердить заключение одной из клиник по рентгену.я прошла 9 клиник которые непонятно куда смотрели,что ничего не видели ,и все они известные клиники г.Алматы. спасибо доктору Аслану, результат заключения меня конечно не обрадовал,Но зато своевременно.
Комментарий от нашего клиента
Лучшая стоматология в которой я была за всю жизнь. Записалась поздно вечером сразу на утро следующего дня с серьёзной проблемой. Доктор сразу назвал финальную стоимость и никто не пытался мне продать дополнительные услуги. Очень часто я раньше сталкивалась с тем, что мне предлагали сразу «вырвать зуб и не мучиться». И меня это страшно бесило. А здесь впервые место, где цель не выдрать все зубы, а сохранить. На каждом этапе лечения делались фотографии, чтобы потом объяснить мне как выглядел зуб «до» и что было сделано врачом. После лечение мне многократно писали и спрашивали о моем самочувствии, передавали рекомендации доктора по восстановлению.
Комментарий от нашего клиента
Я и мои дети посещаем доктора Вялю Муслимовича, и мы полностью довольны его профессионализмом и заботой о нас как пациентах. Доктор создает атмосферу доверия и комфорта, что особенно важно для детей. Он подробно объясняет каждую процедуру и всегда готов ответить на любые вопросы. Рекомендую его всем, кто ищет квалифицированного стоматолога для себя и своих детей.
Комментарий от нашего клиента