Дата публикации: 01.03.2022
Дата обновления: 28.09.2025
Профессиональная чистка зубов в Алматы: полный гид по здоровой улыбке
Автор: Рыскельдиев Еділ Өмірбекович, главный врач-стоматолог, специалист по профессиональной гигиене полости рта
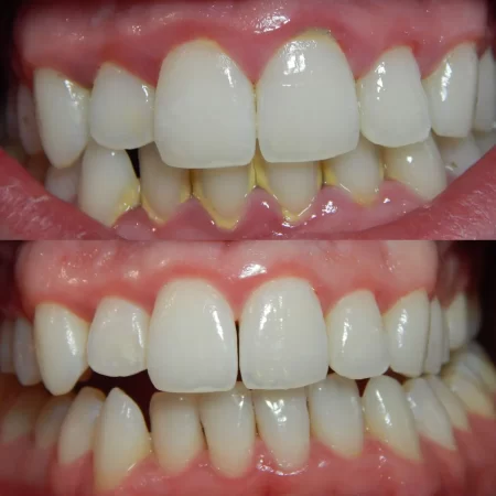
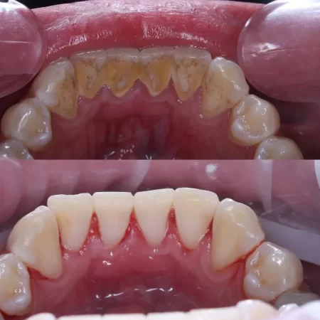
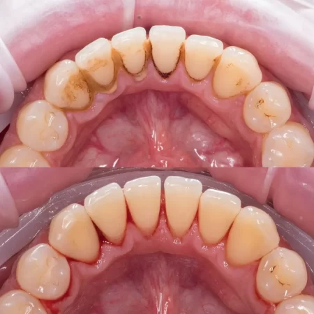
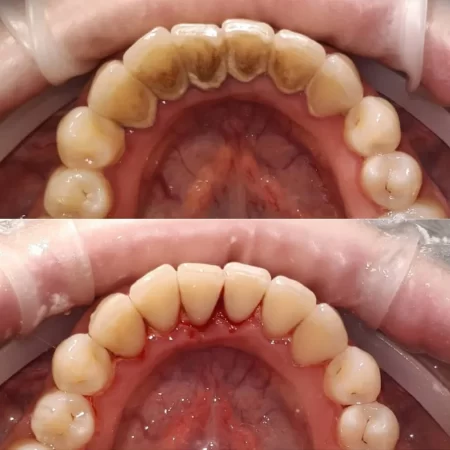
Замечали темный налет у основания зубов или дискомфорт в деснах? Возможно, домашней щетки и пасты уже недостаточно. Зубной камень и пигментированный налет формируются даже при тщательном уходе. Профессиональная гигиена полости рта решает эти проблемы комплексно. Эта процедура не просто косметическое осветление, а основа долгосрочного здоровья зубов и десен.
Почему появляется зубной камень, если я регулярно чищу зубы?
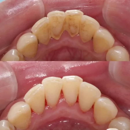
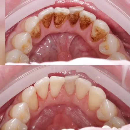
Даже идеальная техника чистки не гарантирует стопроцентное удаление налета из труднодоступных мест. Межзубные промежутки, область за нижними резцами и задние поверхности моляров зоны риска. Мягкий налет, состоящий из бактерий и остатков пищи, постепенно пропитывается солями кальция из слюны. Этот процесс минерализации превращает его в твердую, пористую структуру зубной камень. Убрать его щеткой уже невозможно.
Совет эксперта от Рыскельдиева Еділа Өмірбековича, главного врача-стоматолога: Не доводите до обильного образования камня. Он не просто портит эстетику, но и отодвигает десну, формируя пародонтальный карман. Это рассадник для бактерий, которые приводят к воспалению и подвижности зубов. Регулярная гигиена раз в 6 месяцев инвестиция в сохранение собственных зубов на долгие годы.
Как развивалась профессиональная гигиена: от долота к лазеру
Еще 20-30 лет назад основным инструментом стоматолога для снятия отложений были металлические крючки скейлеры. Врач работал практически вслепую, полагаясь на тактильные ощущения. Метод был травматичным: часто страдала эмаль, возникали микроцарапины. Попытки использовать химические составы для растворения камня тоже не увенчались успехом они повреждали саму эмаль и раздражали десны.
Тупиковой ветвью можно считать и механические бормашины со специальными насадками. Высокие обороты вызывали перегрев эмали, а сама процедура была крайне неприятной для пациента. Современные технологии ультразвук и Air Flow стали ответом на эти вызовы. Они элегантно решают главные проблемы: эффективно удаляют отложения любого типа, минимизируют дискомфорт и полностью безопасны для твердых тканей зуба.
Ультразвуковой скалер: как работает и почему это золотой стандарт?
Ультразвуковой скалер генерирует высокочастотные колебания. Наконечник инструмента вибрирует с частотой до 30 000 Гц, создавая эффект кавитации. Колебания буквально разбивают молекулярные связи в зубном камне, отделяя его от поверхности эмали. Одновременно с вибрацией подается вода, которая охлаждает зуб и вымывает частицы разрушенного налета.
Процедура эффективна против массивных, поддесневых отложений. Однако выбирая ультразвук для борьбы с плотным камнем, стоит учитывать, что у пациентов с повышенной чувствительностью может возникать дискомфорт. Современные аппараты имеют регулируемые режимы, что позволяет адаптировать процедуру под индивидуальные ощущения.
Метод Air Flow: пескоструйная обработка для зубов
Технология Air Flow это контролируемый поток воздуха, воды и мелкодисперсного порошка на основе бикарбоната натрия. Струя под давлением бережно сбивает мягкий пигментированный налет от кофе, чая, табака, а также вычищает труднодоступные пространства.
Основная задача Air Flow борьба с мягкими отложениями и возвращение зубам естественного оттенка. Компромисс метода в том, что он бессилен против твердого, минерализованного камня. Он идеально дополняет ультразвук, но не заменяет его.
Лазерная чистка: мифы и реальность
Лазер в гигиене работает по принципу избирательного воздействия. Луч лазера настраивается на воду, которой насыщены зубные отложения. В клетках налета и камня содержится больше влаги, чем в плотной эмали. Лазерный луч испаряет влагу, вызывая дробление отложений изнутри.
Главное преимущество антибактериальный эффект. Лазер стерилизует обрабатываемую поверхность. Но обратная сторона медали высокая стоимость оборудования, которая напрямую влияет на цену процедуры для пациента. В большинстве случаев ультразвук и Air Flow справляются с гигиеной не менее эффективно.
Сравнительная таблица методов профессиональной гигиены
| Критерий | Ультразвук | Air Flow | Лазер |
| Основная задача | Удаление зубного камня | Удаление мягкого налета и пигмента | Удаление налета, камня, антибактериальная обработка |
| Воздействие на эмаль | Безопасно при правильной технике | Безопасно, полирует эмаль | Безопасно при правильных настройках |
| Чувствительность | Возможен дискомфорт | Минимальная | Минимальная |
| Эффективность против камня | Высокая | Нулевая | Высокая |
| Стоимость в Алматы | Средняя | Средняя | Высокая |
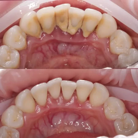
Комплексная чистка зубов: почему нельзя ограничиться одним методом?
Процедура в кабинете стоматолога это всегда комплекс этапов. Сравним два подхода: использование только ультразвука и комплексную гигиену.
Ультразвук против Комплексного подхода (Ультразвук + Air Flow + Полировка)
| Этап | Только Ультразвук | Комплексный подход |
| Снятие камня | Да, эффективно | Да, эффективно |
| Удаление налета | Частично | Полностью, включая пигмент |
| Полировка эмали | Нет, поверхность остается шероховатой | Да, эмаль становится гладкой |
| Долгосрочный результат | Низкий, шероховатая эмаль быстрее собирает налет | Высокий, гладкая эмаль дольше сопротивляется образованию налета |
| Эстетика | Зубы чистые, но цвет может не измениться | Возвращается естественная белизна и блеск |
Выбор только одного метода это компромисс с результатом. Без полировки шероховатая после ультразвука эмаль быстрее накопит новый налет. Без Air Flow не уйдет стойкий пигмент. Поэтому золотым стандартом в Алматы считается последовательное применение всех методик.
Таблица: Средние цены на профессиональную чистку зубов в Алматы
| Услуга | Диапазон цен (тенге) | Примечания |
| Комплексная чистка (Ультразвук + Air Flow + полировка) | 15 000 – 25 000 | Базовая, самая востребованная услуга |
| Чистка ультразвуком | 8 000 – 15 000 | Часть комплекса, редко проводится отдельно |
| Чистка Air Flow | 7 000 – 12 000 | Может предлагаться отдельно при минимальном камне |
| Лазерная чистка | 25 000 – 40 000 | Премиум-сегмент, высокая цена обусловлена стоимостью оборудования |
| Герметизация фисур после чистки | 3 000 – 5 000 за зуб | Рекомендуемая дополнительная процедура для защиты жевательных зубов |
Больно ли делать профессиональную чистку зубов?
Ощущения зависят от исходного состояния полости рта. При здоровых деснах и отсутствии значительных поддесневых отложений дискомфорт минимален. Если десны воспалены, а камня много, чувствительность может повыситься. В таких случаях применяется аппликационная анестезия специальный гель, который полностью блокирует неприятные ощущения. Современные технологии позволяют провести процедуру без боли для любого пациента.
Совет эксперта от Рыскельдиева Еділа Өмірбековича, главного врача-стоматолога: Не терпите боль. Если во время процедуры вам неприятно, обязательно сообщите врачу. Мы можем снизить мощность аппарата или использовать анестезию. Комфорт пациента не менее важен, чем результат.
Как сохранить результат надолго: 3 малоизвестных факта о домашнем уходе
Электрическая щетка не панацея. Она хорошо очищает жевательные поверхности, но часто проигрывает в очистке контактных поверхностей и узких межзубных промежутков мануальной щетке с правильной техникой. Идеальный вариант их комбинация или использование ирригатора.
Ополаскиватель не заменяет зубную нить. Антисептические ополаскиватели маскируют проблему, временно уменьшая количество бактерий. Но они не способны механически удалить пищевые остатки из межзубных пространств. Только флосс или ершики справляются с этой задачей.
Отбеливающая паста может вредить. Абразивные частицы в таких пастах стирают эмаль при постоянном использовании. Они снимают поверхностный пигмент, но не меняют природный цвет зубов. Для поддержания эффекта от чистки лучше выбрать низкоабразивную пасту с реминерализующими компонентами.
Профессиональная чистка и отбеливание: в чем принципиальная разница?
Представьте, что ваши зубы это холст. Профессиональная чистка это тщательная подготовка холста: удаление старого слоя краски, грязи и пыли. Она возвращает поверхности чистоту и гладкость, открывая ее естественный, природный цвет. Отбеливание это уже нанесение новой, более светлой краски, которая меняет внутренний пигмент эмали. Без предварительной «подготовки холста» отбеливающий гель ляжет неравномерно, а результат будет смазанным.
Совет эксперта от Рыскельдиева Еділа Өмірбековича, главного врача-стоматолога: Ни один серьезный стоматолог не начнет отбеливание, реставрацию или протезирование без предварительной профессиональной гигиены. Это базовый этап, который гарантирует точность цветопередачи, качественное прилегание пломб и здоровье десен на годы вперед.
Регулярная профессиональная чистка зубов в Алматы это осознанный выбор в пользу здоровья, а не просто трата денег. Она предотвращает развитие кариеса и пародонтита, сохраняет ваши зубы и в конечном счете избавляет от гораздо более серьезных финансовых затрат на лечение в будущем.



































Записаться на приём
Самая лучшая похвала -
это ваши здоровые зубы.
Сегодня был на приеме у самого крутого стоматолога Аслана Серикбековича!
Довелось в жизни удалять зубы мудрости, сегодня распрощался с последним и я скажу без лукавства, я в жизни более безболезненного удаления не встречал) и самое главное очень быстрое, всего 20 минут.
Качество обслуживания на высшем уровне
Всем советую, не экономьте на здоровье!
Спасибо!
Комментарий от нашего клиента
Приходила на консультацию, так как сейчас в поисках стоматологии на установку брекетов себе и дочери. Клиника как из фильмов зарубежных 😀 не то что у нас в детстве ужас и страх. Ну а далее хочется отметить специалистов. Все как на подбор. Очень приветливые. Так грамотно все объяснили. Чувствуется современный и профессиональный подход. Спасибо. Скоро будем с дочей с красивыми улыбками.
Комментарий от нашего клиента
Одна из 10 клиник которая смогла подтвердить заключение одной из клиник по рентгену.я прошла 9 клиник которые непонятно куда смотрели,что ничего не видели ,и все они известные клиники г.Алматы. спасибо доктору Аслану, результат заключения меня конечно не обрадовал,Но зато своевременно.
Комментарий от нашего клиента
Лучшая стоматология в которой я была за всю жизнь. Записалась поздно вечером сразу на утро следующего дня с серьёзной проблемой. Доктор сразу назвал финальную стоимость и никто не пытался мне продать дополнительные услуги. Очень часто я раньше сталкивалась с тем, что мне предлагали сразу «вырвать зуб и не мучиться». И меня это страшно бесило. А здесь впервые место, где цель не выдрать все зубы, а сохранить. На каждом этапе лечения делались фотографии, чтобы потом объяснить мне как выглядел зуб «до» и что было сделано врачом. После лечение мне многократно писали и спрашивали о моем самочувствии, передавали рекомендации доктора по восстановлению.
Комментарий от нашего клиента
Я и мои дети посещаем доктора Вялю Муслимовича, и мы полностью довольны его профессионализмом и заботой о нас как пациентах. Доктор создает атмосферу доверия и комфорта, что особенно важно для детей. Он подробно объясняет каждую процедуру и всегда готов ответить на любые вопросы. Рекомендую его всем, кто ищет квалифицированного стоматолога для себя и своих детей.
Комментарий от нашего клиента