Лечение рецессии десны
Когда рецессия возникает на передней части полости рта, страдает эстетика улыбки. Поэтому пациент вырабатывает привычку не улыбаться, у него ухудшается эмоциональное состояние, а проблема может остаться на всю жизнь, если лечить ее неправильно.
Рецессия десны: причины возникновения
Рецессия может начать развиваться по нескольким причинам:
- За полостью рта не проводится надлежащая гигиена.
- Травма механического характера. Могут случиться разные ситуации, в том числе неправильно проведенное лечение стоматологом.
- Последствия зубного камня. Данная патология может приводить к смещению эпителия и оголению корней. Из-за этого возникает риск развития рецессии десны. Смещение часто появляется, когда у нее нет должной ширины, а также из-за особенностей ее анатомии;
- Возраст пациента. Чем человек старше, тем больше риск развития рецессии.
- Курение.
- Привычка сильно сжимать челюсти и скрежетать зубами. Из-за этого увеличивается давление не только на зубы, но и на десна.
- Чрезмерная чистка зубов. При слишком интенсивном нажатии щеткой на эмаль, она повреждается, что может привести к заболеванию.
- Пародонтит. Такая проблема подразумевает неплотное прилегание десен к молярам. Из-за этого появляются зубодесневые карманы, внутри которых размножается инфекция. Кость и ткани повреждаются, зуб расшатывается, что в итоге может привести к его потере.
Виды и симптомы
Классификация рецессии десны проводится по нескольким типам. По обширности распространения ее разделяют на:
- Локальную – поражается область одного-двух зубов.
- Генерализованную – рецессия охватывает значительную площадь зубного ряда либо даже всю челюсть;
По причине возникновения заболевания ее классифицируют следующим образом:
- Симптоматическая. Развивается, как следствие другого заболевания, например, пародонтоза или пародонтита. Либо возникает из-за неправильной гигиены ротовой полости.
- Травматическая. Рецессия появляется из-за внешнего некорректного воздействия. Это могут быть травмы от брекетов, коронок, усиленной чистки зубов, вредных привычек;
- Физиологическая – возникает из-за старения тканей.
Конечно, самостоятельно точный диагноз невозможно поставить. Чтобы проблему выявить вовремя и приступить к ее лечению, важно регулярно помещать стоматолога.
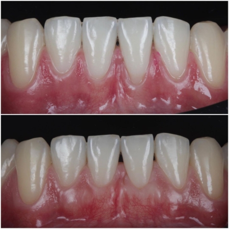
Рецессия десны: лечение
Задача врача в лечении рецессии состоит не только в остановке воспалительного процесса и повышении защитных функций организма. Стоматолог старается также устранить функциональный и эстетический дефект. План лечения напрямую зависит от степени развития заболевания. В основном применяется терапевтический и хирургический метод.
Терапевтическое лечение протекает следующим образом:
- Стоматолог проводит санацию ротовой полости, очищает зубную поверхность от камня и налета. Такая процедура является первым шагом борьбы с воспалительным процессом;
- Удаляет зубной камень под десной;
- Применяет лазер;
- Назначает курс приема препаратов противовоспалительного действия, прописывает антибиотики;
- Если рецессия– это признак гиповитаминоза, то врач назначает также витамины для стимуляции местного иммунитета.
В сложных случаях, когда исчезло большое количество мягких тканей, закрытие рецессии десны проводится хирургическим путем.
Существует несколько методов:
- Самой простой процедурой считается хирургическая обработка десен. Ее назначают чаще всего после механических повреждений.
- Иногда врач может переместить здоровую часть слизистой на пораженную. Это поможет восстановить пару миллиметров десны. Данный метод называется лоскутным.
- Стоматологи также используют стимуляторы роста, состоящие из фибриновых мембран.
- А также вживляют коллагеновые импланты, в состав которых входит белок. Этот вид лечения врачи обычно применяют при естественном старении тканей.
Альтернативные варианты лечения
Пластика десны. Выполняется с применением местного наркоза хирургом-парадонтологом. Операция по закрытию рецессии десны подразумевает удаление ненужных частей и наращивание недостающих.
Вестибулопластика. Процедура отслаивания некоторых участков слизистой и их фиксация в нужных местах.
Лечение десен. Так как причинами рецессии могут быть заболевания другого типа, стоматологи применяют различные методы для их лечения.
Полная цена лечения составляется из множества процедур. Для кого-то достаточно одного посещения врача, а лечение некоторых пациентов затягивается дольше. Это зависит от степени заболевания, причин ее возникновения и жалоб пациента. Для точной информации необходимо обращаться к лечащему врачу. Он сможет поставить точный диагноз и назначить подходящий курс лечения.

























Записаться на приём
Самая лучшая похвала -
это ваши здоровые зубы.
Сегодня был на приеме у самого крутого стоматолога Аслана Серикбековича!
Довелось в жизни удалять зубы мудрости, сегодня распрощался с последним и я скажу без лукавства, я в жизни более безболезненного удаления не встречал) и самое главное очень быстрое, всего 20 минут.
Качество обслуживания на высшем уровне
Всем советую, не экономьте на здоровье!
Спасибо!
Комментарий от нашего клиента
Приходила на консультацию, так как сейчас в поисках стоматологии на установку брекетов себе и дочери. Клиника как из фильмов зарубежных 😀 не то что у нас в детстве ужас и страх. Ну а далее хочется отметить специалистов. Все как на подбор. Очень приветливые. Так грамотно все объяснили. Чувствуется современный и профессиональный подход. Спасибо. Скоро будем с дочей с красивыми улыбками.
Комментарий от нашего клиента
Одна из 10 клиник которая смогла подтвердить заключение одной из клиник по рентгену.я прошла 9 клиник которые непонятно куда смотрели,что ничего не видели ,и все они известные клиники г.Алматы. спасибо доктору Аслану, результат заключения меня конечно не обрадовал,Но зато своевременно.
Комментарий от нашего клиента
Лучшая стоматология в которой я была за всю жизнь. Записалась поздно вечером сразу на утро следующего дня с серьёзной проблемой. Доктор сразу назвал финальную стоимость и никто не пытался мне продать дополнительные услуги. Очень часто я раньше сталкивалась с тем, что мне предлагали сразу «вырвать зуб и не мучиться». И меня это страшно бесило. А здесь впервые место, где цель не выдрать все зубы, а сохранить. На каждом этапе лечения делались фотографии, чтобы потом объяснить мне как выглядел зуб «до» и что было сделано врачом. После лечение мне многократно писали и спрашивали о моем самочувствии, передавали рекомендации доктора по восстановлению.
Комментарий от нашего клиента
Я и мои дети посещаем доктора Вялю Муслимовича, и мы полностью довольны его профессионализмом и заботой о нас как пациентах. Доктор создает атмосферу доверия и комфорта, что особенно важно для детей. Он подробно объясняет каждую процедуру и всегда готов ответить на любые вопросы. Рекомендую его всем, кто ищет квалифицированного стоматолога для себя и своих детей.
Комментарий от нашего клиента